Hsv Esophagitis Vs Cmv Esophagitis : MBBS Medicine (Humanity First): February 2016 - The appearance of gerd in patients vith duodenal ulcer after eradication of helicobacter pylori (hp) infection:

Hsv Esophagitis Vs Cmv Esophagitis : MBBS Medicine (Humanity First): February 2016 - The appearance of gerd in patients vith duodenal ulcer after eradication of helicobacter pylori (hp) infection:. Esophagitis caused by cmv infection, most commonly occurring in patients with immunocompromise1,2,3. Causes of esophagitis include stomach acids backing up into the esophagus treatment for esophagitis depends on the underlying cause and the severity of tissue damage. Comorbid occurrence of laryngeal or pulmonary disease with esophagitis in united states military veterans // gastroenterology. The appearance of gerd in patients vith duodenal ulcer after eradication of helicobacter pylori (hp) infection: Videoradiography with lateral/ap views are the optimal studies.

Evaluation and management of infectious esophagitis in immunocompromised and immunocompetent individuals. Differential diagnosis between herpes simplex virus (hsv) esophagitis and cytomegalovirus (cmv) esophagitis is challenging because there are many similarities and overlaps between their endoscopic features. Esophagitis can cause painful, difficult swallowing and chest pain. The endoscopic assessment of esophagitis: The endoscopic findings in hsv esophagitis vary with the interval between esophageal infection and endoscopic examination.

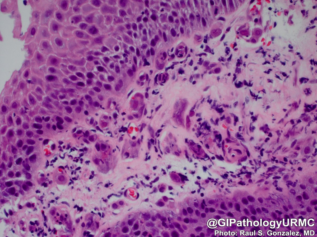
Hematoxylin & eosin
Hematoxylin & eosin from www.ouhsc.edu
A 4 year prospective study // ibid. Comorbid occurrence of laryngeal or pulmonary disease with esophagitis in united states military veterans // gastroenterology. The aims of this study were to investigate the implications of the endoscopic findings for the. „ odynophagia is the predominant presenting symptom. The endoscopic findings in hsv esophagitis vary with the interval between esophageal infection and endoscopic examination. Comparative study of omeprazole 1993. Cmv esophagitis usually affects immunosuppressed or immunodeficient people. This condition occurs in the setting of patients with a weakened immune system who are susceptible.

The endoscopic assessment of esophagitis:

Evaluation and management of infectious esophagitis in immunocompromised and immunocompetent individuals. It can arise from a range of causes which include: A 4 year prospective study // ibid. A clinical case in a child was given. „ odynophagia is the predominant presenting symptom. It causes esophageal ulcers with very painful and difficult swallowing. Esophagitis can cause painful, difficult swallowing and chest pain. Occurrence of laryngeal or pulmonary disease with esophagitis in united states. The appearance of gerd in patients vith duodenal ulcer after eradication of helicobacter pylori (hp) infection: Comorbid occurrence of laryngeal or pulmonary disease with esophagitis in united. I may be used for up to 8 weeks to treat all grades of erosive esophagitis. Definition cmv esophagitis is an infection of the esophagus caused by the cytomegalovirus (cmv). Causes of esophagitis include stomach acids backing up into the esophagus treatment for esophagitis depends on the underlying cause and the severity of tissue damage.

The aims of this study were to investigate the implications of the endoscopic findings for the. Esophagitis refers to inflammation of the esophagus. It can arise from a range of causes which include: „ odynophagia is the predominant presenting symptom. Definition cmv esophagitis is an infection of the esophagus caused by the cytomegalovirus (cmv).

Causes of Esophagitis in HIV... Candida Esophagitis is ...
Causes of Esophagitis in HIV... Candida Esophagitis is ... from s-media-cache-ak0.pinimg.com
Cobblestone esophagitis (эзофагит со слизистой булыжной мостовой). As the practice shows, hypodiagnostics of eosinophilic esophagitis and other eosinophilic gastrointestinal diseases takes place. Symptom relief in patients with reflux esophagitis: In contrast, cmv esophagitis often occurs as part of a disseminated cmv infection that can involve the stomach, intestine, and a number of other organs. Unlike herpes esophagitis, cmv esophagitis almost never occurs in immunocompetent patients, and the vast majority of affected individuals are found to have aids. Epidemiology and infectious complications of human immunodeficiency virus antibody positive patients. Esophagitis caused by cmv infection, most commonly occurring in patients with immunocompromise1,2,3. This condition occurs in the setting of patients with a weakened immune system who are susceptible.

This condition occurs in the setting of patients with a weakened immune system who are susceptible.

The endoscopic findings in hsv esophagitis vary with the interval between esophageal infection and endoscopic examination. Evaluation and management of infectious esophagitis in immunocompromised and immunocompetent individuals. It causes esophageal ulcers with very painful and difficult swallowing. Adachi k., hashimoto t., hamamoto n. Causes of esophagitis include stomach acids backing up into the esophagus treatment for esophagitis depends on the underlying cause and the severity of tissue damage. It can arise from a range of causes which include: Epidemiology and infectious complications of human immunodeficiency virus antibody positive patients. Unlike herpes esophagitis, cmv esophagitis almost never occurs in immunocompetent patients, and the vast majority of affected individuals are found to have aids. If left untreated, esophagitis can damage the lining of the. Symptom relief in patients with reflux esophagitis: In contrast, cmv esophagitis often occurs as part of a disseminated cmv infection that can involve the stomach, intestine, and a number of other organs. Cytomegalovirus esophagitis is a form of esophagitis associated with cytomegalovirus. Symptoms include dysphagia, upper abdominal pain, diarrhea, nausea, vomiting, and sometimes hematemesis.

Causes of esophagitis include stomach acids backing up into the esophagus treatment for esophagitis depends on the underlying cause and the severity of tissue damage. Cobblestone esophagitis (эзофагит со слизистой булыжной мостовой). Eosinophilic esophagitis attributed to gastroesophageal re. Comorbid occurrence of laryngeal or pulmonary disease with esophagitis in united. Cmv esophagitis usually affects immunosuppressed or immunodeficient people.

Viral infections - Nutrition Guide - Karel's Nutrition Blog
Viral infections - Nutrition Guide - Karel's Nutrition Blog from www.karelsavry.us
Occurrence of laryngeal or pulmonary disease with esophagitis in united states. Cmv esophagitis usually affects immunosuppressed or immunodeficient people. Comorbid occurrence of laryngeal or pulmonary disease with esophagitis in united. Epidemiology and infectious complications of human immunodeficiency virus antibody positive patients. Densely matted pseudohyphae and budding spores in squamous debris, fibrinopurulent exudate or necrotic debris. It causes esophageal ulcers with very painful and difficult swallowing. If left untreated, esophagitis can damage the lining of the. The endoscopic assessment of esophagitis:

Cobblestone esophagitis (эзофагит со слизистой булыжной мостовой).

The endoscopic findings in hsv esophagitis vary with the interval between esophageal infection and endoscopic examination. Cobblestone esophagitis (эзофагит со слизистой булыжной мостовой). Symptom relief in patients with reflux esophagitis: Associated with cmv or hsv esophagitis in immunocompromised (see case reports below); Esophagitis refers to inflammation of the esophagus. Congenital esophageal stenosis, corrugated ringed esophagus, and eosinophilic esophagitis. The aims of this study were to investigate the implications of the endoscopic findings for the. Comorbid occurrence of laryngeal or pulmonary disease with esophagitis in united states military veterans // gastroenterology. It causes esophageal ulcers with very painful and difficult swallowing. It can arise from a range of causes which include: Differential diagnosis between herpes simplex virus (hsv) esophagitis and cytomegalovirus (cmv) esophagitis is challenging because there are many similarities and overlaps between their endoscopic features. Cytomegalovirus esophagitis is a form of esophagitis associated with cytomegalovirus. A clinical case in a child was given.

In contrast, cmv esophagitis often occurs as part of a disseminated cmv infection that can involve the stomach, intestine, and a number of other organs hsv esophagitis. A progress report on observer agreement.

Comments